症例集(Before-After)
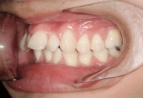
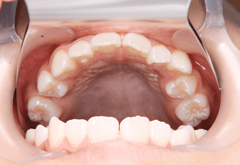
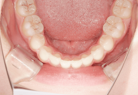
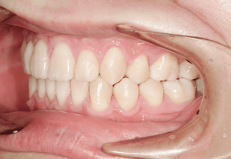
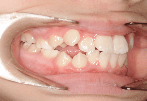
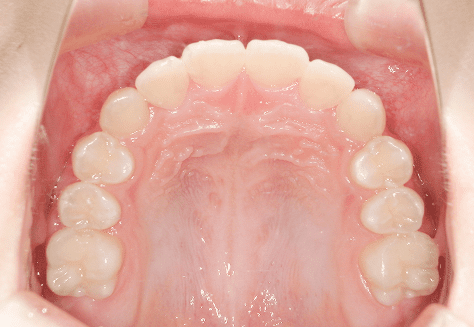
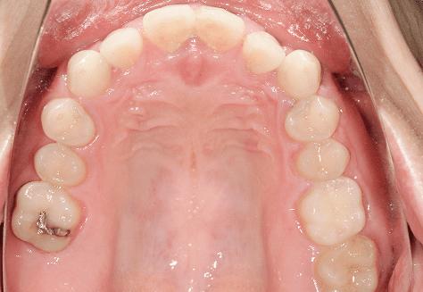
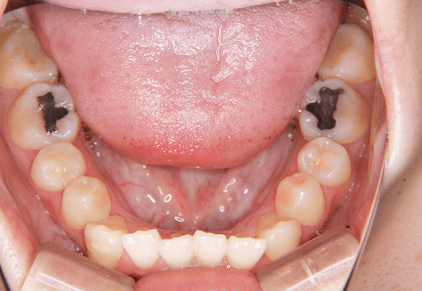
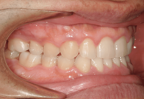
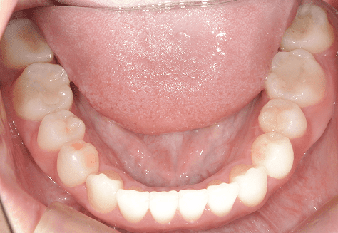
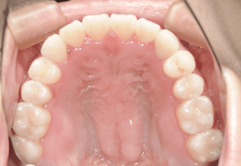
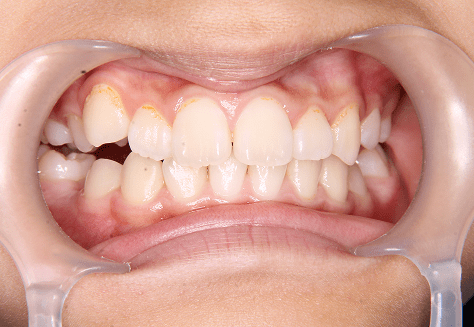
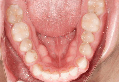
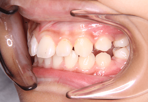
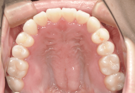
H.A
治療前
治療後
-
主訴
正中がずれているのが気になる。ちゃんと噛めていない。
-
診断
上下両側第二小臼歯先天欠如・上顎前突
-
年齢/性別
10代/女性
-
抜歯部位
必要に応じて乳歯抜歯
-
使用装置
6か月間エッジワイズにて下顎第一大臼歯の近心傾斜改善→上下インビザラインへ移行
-
保定装置
上下ビベラリテーナー
-
料金
初回資料採得・・・・・・・15,000円
診断料・・・・・・・・・・33,000円
動的治療終了時資料採得・・5,500円 -
基本料金
936,000円
-
診察料金
ワイヤー時:5,500円×4回
インビザライン時:1,100円×21回 -
治療期間
2年4カ月
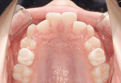
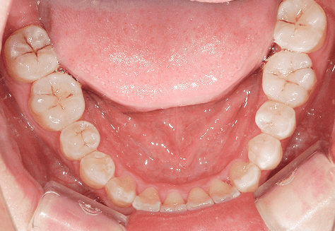
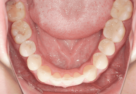
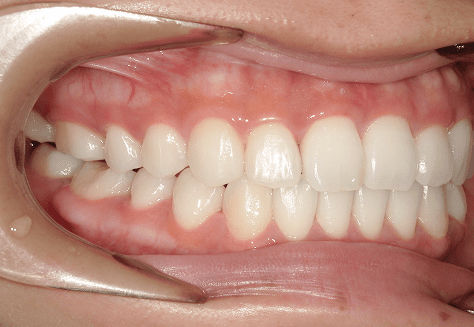
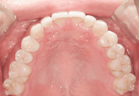
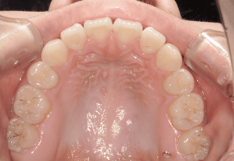
M.U
治療前
治療後
-
主訴
下の歯が特にガタガタなのが気になる。上の前歯が1本反対になっている。
-
診断
下顎前突・叢生・反対咬合
-
年齢/性別
20代/男性
-
抜歯部位
非抜歯
-
使用装置
上下インビザライン(PBM使用)
-
保定装置
ビベラリテーナー
-
料金
初回資料採得・・・・・・・30,000円
診断料・・・・・・・・・・33,000円
動的治療終了時資料採得・・5,500円 -
基本料金
950,000円
-
診察料金
5,500円×16回
-
治療期間
1年7カ月
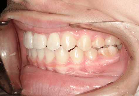
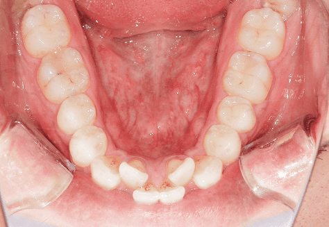
S.K
治療前
治療後
-
主訴
歯が重なっていて気になる。前歯が出ていて唇が閉じにくい。ハミガキがしにくい。
-
診断
上顎前突・叢生
-
年齢/性別
20代/男性
-
抜歯部位
上下第三大臼歯
-
使用装置
上下インビザライン
-
保定装置
上下ビベラリテーナー
-
料金
初回資料採得・・・・・・・30,000円
診断料・・・・・・・・・・33,000円
動的治療終了時資料採得・・5,500円 -
基本料金
990,000円
-
診察料金
1,100円×33回
-
治療期間
3年5カ月
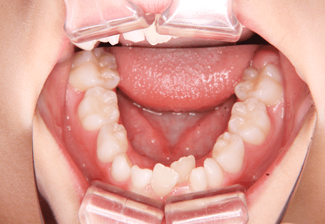
M.H
治療前
治療後
-
主訴
前歯が出ている。下の歯並びが特に気になる。奥歯でしっかり噛めない。
-
診断
上顎前突・叢生・シザーズバイト
-
年齢/性別
20代/男性
-
抜歯部位
下顎両側大三大臼歯(口腔外科にて)
上顎両側第一小臼歯・下顎左側側切歯
(当院にて5,500円×3) -
使用装置
上下エッジワイズ→インビザライン(PBM使用)
-
保定装置
上下ビベラリテーナー
-
料金
初回資料採得・・・・・・・30,000円
診断料・・・・・・・・・・33,000円
動的治療終了時資料採得・・5,500円 -
基本料金
880,000円
-
診察料金
5,500円×44回
-
治療期間
3年6カ月
M.M
治療前
治療後
-
主訴
嚙み合わせが悪い。八重歯が気になる。
-
診断
叢生・反対咬合
-
年齢/性別
10代/女性
-
抜歯部位
非抜歯
-
使用装置
インビザラインファースト→インビザラインフェーズⅡ(部分的にワイヤーにて処置)
-
保定装置
上下ビベラリテーナー
-
料金
初回資料採得・・・・・・・30,000円
診断料・・・・・・・・・・0円
動的治療終了時資料採得・・5,500円 -
基本料金
円ファースト時:450,000円
フェーズⅡ時:240,000円 -
診察料金
ファースト時:0円×16回
フェーズⅡ時:5,500円×9回
ワイヤー併用時:8,800円×2回 -
治療期間
2年7カ月
R.M
治療前
治療後
-
主訴
前歯が出ていて気になる。歯並びを気にせず思いっきり笑えるようにしたい。
-
診断
叢生・不正咬合
-
年齢/性別
10代/男性
-
抜歯部位
上顎両側第一小臼歯(5,500円×2)
-
使用装置
上下インビザライン(顎間ゴム併用・PBM使用)
-
保定装置
上下ビベラリテーナー
-
料金
初回資料採得・・・・・・・30,000円
診断料・・・・・・・・・・33,000円
動的治療終了時資料採得・・5,500円 -
基本料金
990,000円
-
診察料金
1,100円×28回
-
治療期間
2年4カ月
M.M
治療前
治療後
-
主訴
上下前歯4本が反対になっていてずっと気になっていた。
-
診断
右側第一大臼歯埋伏・反対咬合
-
年齢/性別
30代/男性
-
抜歯部位
非抜歯
-
使用装置
上下インビザライン
-
保定装置
上下ビベラリテーナー
-
料金
初回資料採得・・・・・・・30,000円
診断料・・・・・・・・・・33,000円
動的治療終了時資料採得・・5,500円 -
基本料金
880,000円
-
診察料金
5,500円×45回
-
治療期間
3年4カ月(ワイヤー1年6カ月・インビザライン1年9カ月)
A.M
治療前
治療後
-
主訴
前歯の見た目が気になる。反対になっているところを綺麗にしたい。
-
診断
下顎前突
-
年齢/性別
20代/女性
-
抜歯部位
非抜歯
-
使用装置
上下インビザライン
-
保定装置
上下ビベラリテーナー
-
料金
初回資料採得・・・・・・・30,000円
診断料・・・・・・・・・・33,000円
動的治療終了時資料採得・・5,500円 -
基本料金
935,000円
-
診察料金
1,100円×29回
-
治療期間
2年11カ月
K.Y
治療前
治療後
-
主訴
歯並びが悪い。永久歯になった時に綺麗な歯並びにしてあげたい。
-
診断
開口・反対咬合
-
年齢/性別
10代/女性
-
抜歯部位
必要に応じて乳歯を抜歯
-
使用装置
上顎拡拡大床・下顎倍ヘリックス→上下インビザラインファースト→インビザラインフェーズⅡ
-
保定装置
ビベラリテーナー
-
料金
初回資料採得・・・・・・・30,000円
診断料・・・・・・・・・・0円
1期→2期への移行時資料採得:28,000円
動的治療終了時資料採得・・5,500円 -
基本料金
拡大床:192,000円
インビザラインファースト:358,000円
フェーズⅡ:240,000円 -
診察料金
拡大床時:3,300円
インビザライン時:0円 -
治療期間
8年10カ月
